|
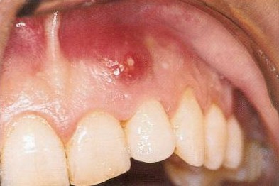
Die
Parodontitis bzw. Zahnfleischentzündung wird durch eine
parodon-tale Tascheninfektion verursacht, die in der Folge zu
Zahnfleisch-bluten, freiliegenden empfindlichen Zahnhälsen,
Knochenabbau, Zahnlockerung und Mundgeruch führt. Allerdings
können auch Verletzungen, Tabakkonsum, verschiedene
Allgemeinerkrankungen, der allgemeine Alterungsprozess sowie
genetische Veranlagung den Abbau des Zahnhalteapparates beschleunigen.
|
 |
|
 |
In unserer Praxis wird das Konzept der Full
Mouth Desinfection durchgeführt. Im Gegensatz zur
herkömmlichen Paradontitis-Therapie, bei der in mehreren
Sitzungen über Wochen alle Zahntaschen gründlich
gereinigt werden, wird bei der Full-Mouth-Desinfection der
komplette Mundraum inklusive Zunge und Rachenraum innerhalb
eines sehr kurzen Zeitraumes (24 Stunden) desinfiziert. Dies
soll verhindern, dass die Bakterien der noch nicht behandelten
Zahntaschen die bereits behandelten Zahntaschen erneut
infizieren.
|